Werbung:

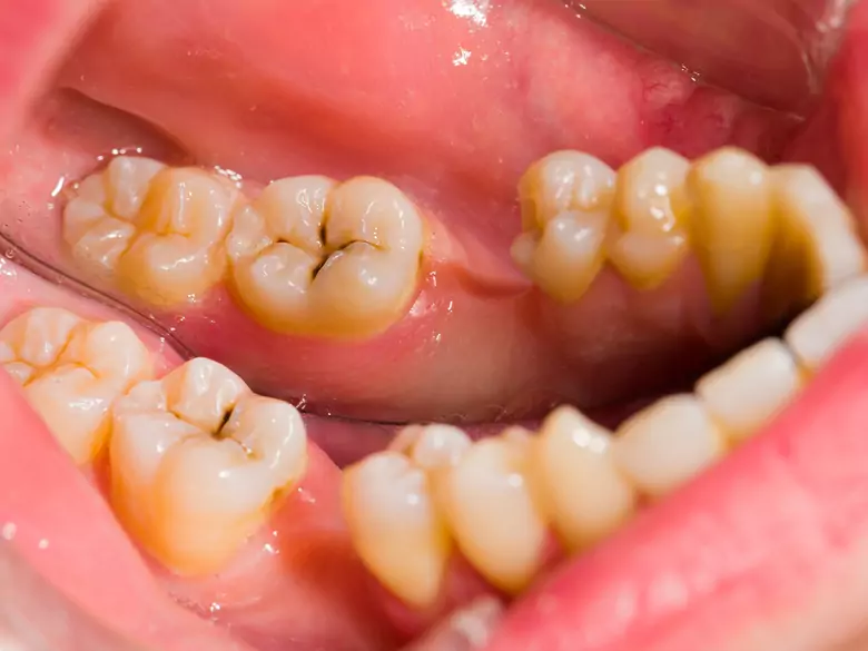
Karies-Risikofaktoren

Sie können diesen Text hier lesen 1 min.

Karies-Risikofaktoren

Panthermedia

Karies, schlechte Mundgesundheit

Die derzeitige Behandlung von Zahnkaries umfasst Prävention, Kontrolle und Behandlung.

Werbung: