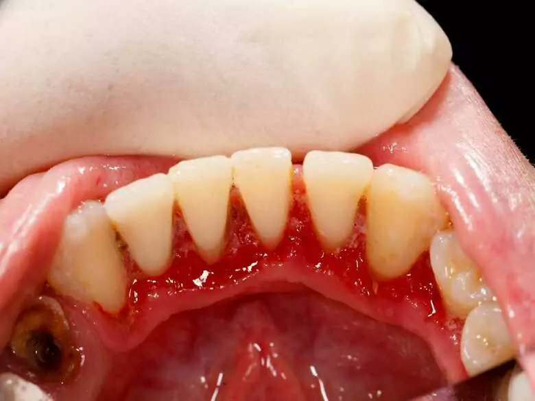
Die Symptome von Leukämie sind vielfältig und umfassen Appetitlosigkeit, Müdigkeit und geschwächte Immunität, aber auch Zahnfleischbluten. Letzteres gibt den Patienten in der Regel ein ziemliches Rätsel auf - warum haben Menschen mit Leukämie Zahnfleischbluten und welche anderen Veränderungen im Mund können im Verlauf dieser Krankheit auftreten?
Werbung:





